Характеристика клеточной инфильтрации легких на ранней стадии инфекции, вызванной штаммами вируса репродуктивно-респираторного синдрома свиней 1-го типа различной вирулентности.

Вирус репродуктивно-респираторного синдрома свиней (РРСС) характеризуется высокой генетической вариабельностью в рамках рода Betaarterivirus. За последнее десятилетие были выявлены существенные различия в вирулентности среди штаммов вируса РРСС-1. Изначально высокая вирулентность ассоциировалась преимущественно со штаммами подтипа 3 (Lena, SU1-bel), однако в последние годы отмечено появление клинически значимых штаммов, вызывающих тяжелые поражения и относящихся к подтипам 1 (штаммы 13V091, AUT15–33, PR40/2014, Rosalía) и 2 (штамм BOR59).

Высоковирулентные штаммы вируса РРСС индуцируют более тяжелую клиническую картину и выраженную интерстициальную пневмонию, а также иные сопутствующие легочные поражения по сравнению со штаммами классической вирулентности. Однако механизмы, связывающие вирулентность штамма с тяжестью патологии легких, остаются недостаточно изученными. Целью данного исследования был сравнительный анализ клеточной инфильтрации легочной ткани у поросят на ранней стадии инфекции, вызванной штаммами вируса РРСС-1 различной вирулентности.

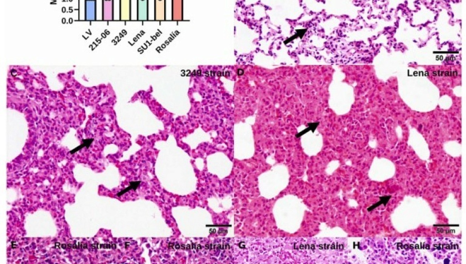
Проведено ретроспективное исследование на образцах легких поросят, экспериментально инфицированных штаммами вируса РРСС-1: классическими (LV, 215-06), умеренно вирулентным (3249) и высоковирулентными (Lena, SU1-bel, Rosalía). Оценка проводилась методами макроскопической патологии, гистопатологии и иммуногистохимии. Для идентификации клеточных популяций использовались антитела к маркерам CD163 (макрофаги), кальпротектину (нейтрофилы, активированные макрофаги), CD14 (моноциты/макрофаги), CD3 (T-лимфоциты), CD20 (B-лимфоциты) и TTF-1 (пневмоциты II типа).

Результаты показали, что заражение высоковирулентными штаммами (Lena, Rosalía) сопровождалось более тяжелыми легочными поражениями, включая выраженную интерстициальную пневмонию, по сравнению с классическими штаммами. Количественный анализ клеточной инфильтрации выявил, что основными клетками, инфильтрирующими альвеолярные перегородки, были CD3+ T-лимфоциты и TTF-1+ пневмоциты II типа, за которыми следовали клетки, экспрессирующие кальпротектин. Максимальная интенсивность инфильтрации всеми изученными клеточными типами наблюдалась при инфицировании высоковирулентными штаммами, особенно Rosalía. При этом пропорциональное соотношение изученных клеточных популяций в инфильтратах на первой неделе инфекции было сходным для всех групп, статистически значимых различий выявлено не было.

Полученные данные свидетельствуют, что на ранней стадии инфекции высоковирулентные штаммы вируса РРСС-1 индуцируют сходные качественные патогенетические механизмы, что проявляется идентичным клеточным профилем инфильтрации, однако количественно эти процессы выражены в значительно большей степени, что коррелирует с тяжестью развивающейся патологии.

ссылка на публикацию